Oral sundhed: Hvilken dårlig ånde siger om dit helbred
Oplysningerne På Webstedet Er Ikke Medicinsk Rådgivning. Vi Sælger Ikke Noget. Nøjagtigheden Af Oversættelsen Er Ikke Garanteret. Ansvarsfraskrivelse
Hvad bruges Biaxin 500 mg til
Snorken

Hvad forårsager dårlig ånde? Der er mange årsager, men hvis du snorker, kan du få dårlig ånde fra halsen. Det skyldes, at snorken får din mund og halsen til at tørre ud. Mangel på spytproduktion, der opstår, når du snorker, giver bakterier mulighed for at vokse, hvilket giver dig dårlig ånde. Tilbage sviller er mere tilbøjelige til at snorke.
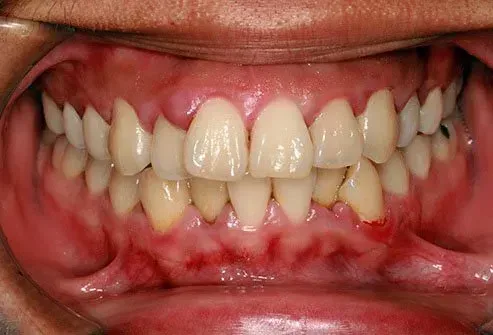
Gummisygdom

Gummisygdom er en almindelig årsag til kronisk dårlig ånde. Det resulterer normalt i dårlig ånde, der har en metallisk lugt. Årsagen til tandkødssygdom er bakterier, der vokser under tandkødslinjen. Dette forårsager infektion og betændelse eller periodontitis. Mennesker, der ryger eller ikke floss og børster regelmæssigt, er mere tilbøjelige til at få tandkødssygdomme. Det kan også være genetisk og løber i familier.
Acid reflux

Acid Reflux er en tilstand, hvor mavesyre fungerer tilbage op ad spiserøret fra maven. Det kan give dig dårlig ånde, der har en sur lugt. Du kan tilbagesvaltere væske eller mad i munden. Syren kan være skadelig for munden og halsen, hvilket forårsager mere lugt.
Diabetes

Diabetes may result in bad breath when the body creates ketones to use for fuel instead of glucose (sugar). If you have diabetes and bad breath reach out to your doctor because you may be low on insulin.
H. Pylori

H. Pylori er en type bakterier, der øger risikoen for mavesår og mavekræft. Det kan også føre til dårligt åndedræts -halsbrand kvalme gastrointestinal smerte og fordøjelsesbesvær. En måde at slippe af med dårlig ånde er at behandle denne infektion, hvis du har den. Din læge kan teste dig for H. pylori og kan give dig antibiotika, hvis du har brug for dem.
Luftvejsinfektioner

Bronchitis sinusinfektioner forkølelse og hoste er et par typer luftvejsinfektioner, der kan bidrage til dårlig ånde. Dette sker, fordi disse tilstande resulterer i bakteriefyldt slim i næsen og munden, der har en dårlig lugt. Dårlig åndedræt løser, når tilstanden gør det.
Medicin

Medicins that cause dry mouth result in a decrease in saliva which allows smelly bacteria to grow. Heart medications containing nitrates may cause bad breath. So can certain sleep meds and chemotherapy. Excess consumption of vitamins may cause bad breath too.
Tonsil sten

Tonsils er en del af lymfesystemet og ligger bagpå halsen. Hvis dine mandler er bundet og har krypter, er det muligvis mere sandsynligt, at du udvikler mandelsten, når madstykker bliver fanget i spalterne og calcium samles rundt i områderne. Bakterier vokser på mandelsten, der fører til dårlig ånde. Nogle mennesker er i stand til at fjerne tonsilsten ved hjælp af en tandbørste eller en bomuldspinde. Børst og tandtråd dagligt og børst din tunge for at afskrække dannelsen af mandelsten. Og gurgle godt med saltvand, når du spiser. Kontakt din læge, hvis du udvikler hyppige mandelsten. Nogle mennesker kan rådes til at få deres mandler fjernet.
Dehydrering

Spekulerer du på, hvordan man fikserer dårlig ånde? Drik mere vand. Dehydrering resulterer i nedsat produktion af spyt, som gør det muligt for bakterier at vokse. Det er også muligt at udvikle tør mund som et resultat af visse forhold, herunder Sjögrens syndrom og skleroderma. Disse forhold påvirker spytkirtler og kan føre til tør mund og dårlig ånde.
Infektion

Orale skader kan føre til dårlig ånde, hvis de bliver inficeret med bakterier. En skade kan skyldes en ulykke eller resultatet af mundkirurgi på dit tandkød eller i din mund. Hvis du får en tand trukket, kan den resterende sokkel blive inficeret. Følg altid din tandlæge- eller mundkirurgiske instruktioner efter at have haft tandprocedurer. Rapporter eventuelle problemer til din tandlægeprofessionel med det samme. Hvis du udvikler en infektion, kan lægen give dig antibiotika til behandling af infektionen. Skylning med saltvand kan hjælpe med at holde din mund ren og afskrække spredningen af bakterier.
Leversvigt

Leverfejl kan producere en bestemt form for dårlig ånde kaldet 'Fetor hepaticus.' Det lugter måske muggen og sødt. Denne form for lugtresultater på grund af svær leversygdom. Andre symptomer som gullige gulsotede øjne kan forekomme. Gulsot sker, når Bilirubin bygger sig op i blodbanen.
Nyresvigt

Nyresvigt kan være forbundet med 'fiskende' lugtende åndedrag på grund af nyrens reducerede evne til at filtrere toksiner. Dårlig ånde forekommer oftest i de sene stadier af nyresvigt eller nyresygdom i slutstadiet (ESRD). Behandlingen af nyresvigt er dialyse for at filtrere blodet eller en nyretransplantation.
Oral sundhed: Hvilken dårlig ånde siger om dit helbred
Kilder:
Billeder leveret af:
- Thinkstock
- Thinkstock
- Thinkstock
- Getty
- Getty
- Getty
- Thinkstock
- Getty
- Getty
- Getty
- Getty
- Thinkstock
Referencer:
- Sleep.org: Hvordan man slipper af med dårlig ånde i moring.
- University of Michigan Medicine: Dårlig eller ændret åndedræt.
- Harvard Medical School: Dårlig ånde: Hvad forårsager det, og hvad man skal gøre ved det.
- Journal of Dentistry: Forholdet mellem halitose og gastrisk Helicobacter pylori -infektion.
- Harvard Medical School: Dårlig ånde: Hvad forårsager det, og hvad man skal gøre ved det.
- BMJ: Oral Malodour (Halitosis).
- Cleveland Clinic: Tonsil Stones forårsager muligvis din dårlige ånde.
- University of Michigan Medicine: Dårlig eller ændret åndedræt.
- Mayo Clinic: Dårlig ånde.
- University of Michigan Medicine: Dårlig eller ændret åndedræt.
- Cleveland Clinic: Bad Breath (Halitosis).
- American Academy of Allergy Asthma
- American College of Cardiology: 'Dårlig eller ændret ånde.'
- Canadian Society of Intestinal Research: 'H. Pylori og Halitosis. ' Cleveland Clinic: 'Er besværlige mandlersten, der forårsager din dårlige ånde?'
- Mayo Clinic: 'Er Acid Reflux den samme som GERD?' 'Diabetisk ketoacidosis' 'tirsdag Q og A: selvplejetrin kan hjælpe med at forhindre mandelsten i at vende tilbage' 'dårlig ånde: symptomer og årsager.'
- Medicinske nyheder i dag: 'Dårlig ånde (halitose): forårsager diagnose og behandling.'
- National Institutes of Health: 'Lactose Intolerance' 'Orale og spytændringer blandt nyrepatienter, der gennemgår hæmodialyse: en tværsnitsundersøgelse' 'ud over maven: et opdateret billede af Helicobacter Pylori Patogenese Diagnosis og behandling' 'Oral Malodour (Halitosis)' 'Salt Water mundwash Post Extraction Reduct Post Operation Complications' 'GC-Ms Analyse af ildsanaly Leverpatienter '' Orale manifestationer af HIV. '
- National Sleep Foundation: 'Tag en frisk pust-uden at sende din sengekammerat løbende-med disse øverste tip.'
Dette værktøj giver ikke medicinsk rådgivning. Se yderligere oplysninger:
Dette værktøj giver ikke medicinsk rådgivning. Det er kun beregnet til generelle informationsformål og adresserer ikke individuelle omstændigheder. Det er ikke en erstatning for professionel diagnose eller behandling af medicinsk rådgivning eller behandling og bør ikke være afhængig af at tage beslutninger om dit helbred. Ignorere aldrig professionel medicinsk rådgivning i at søge behandling på grund af noget, du har læst på -webstedet. Hvis du tror, at du måske har en medicinsk nødsituation, skal du straks ringe til din læge eller ringe 911.
© 1996-2025 WebMD LLC . Alle rettigheder forbeholdes.